FieldStrength MRI magazine
Research - May 2015
Researchers at Université de Sherbrooke (Sherbrooke, Quebec, Canada) are using techniques like denoising, advanced tractography, and simultaneous EEG-fMRI to better understand basic brain function in health and disease.

Maxime Descoteaux, PhD

Kevin Whittingstall, PhD
Kevin Whittingstall, PhD, is an assistant professor in the department of Radiology at the Université de Sherbrooke in Québec, Canada and a Canada Research Chair in Neurovascular Coupling. His main research interests are in the development of non-invasive tools for measuring and interpreting brain function and structure in humans and animal models. In particular, his lab focuses on the balance between neural activity and cerebral blood supply (neurovascular coupling) and how disruptions in this balance are related to diseases of the brain (e.g. brain tumors).
Maxime Descoteaux, PhD, director of the Sherbrooke Connectivity Imaging Laboratory (SCIL), focuses on neuro connectivity, including algorithm development, modeling, and the processing pipeline. He notes two major challenges for neural imaging: understanding white matter microstructure and understanding the large scale connections in the brain. “At the local level, the challenge is to understand what the MR signal in a single voxel represents, especially in white matter. We have thousands of axons, blood vessels, and other types of cells such as glial cells, and all of this is averaged out in one MR signal, so there is a lot of room for local modeling to extract meaningful features from these signals,” Dr. Descoteaux notes. “The ultimate goal is to find new biomarkers for certain diseases such as neurodegenerative diseases, autism and psychiatric diseases.” “At a more global level, one of the biggest challenges is mapping the human connectome. As we map the connections of the brain, it brings so much data that we need new algorithms to analyze that data.”
One of Dr. Descoteaux’s current projects involves using mathematical modeling and smart algorithms to optimize diffusion weighted images (DWI). He explains that in DWI, as in all MR techniques, SNR decreases and acquisition time increases as the voxel size is reduced, forcing DWI acquisitions at a spatial resolution that can’t provide the desired high specificity of reconstructed tracts and diffusion features. Dr. Descoteaux and his colleagues have published a scientific paper at the ISMRM (2015) that concludes that applying his denoising techniques can produce acquisition of high resolution DWIs comparable to those acquired in the Human Connectome Project. “The difference is that our dataset was acquired in 13 minutes on a clinical 3.0T scanner without expensive, specialized hardware, as opposed to about an hour and a half on the Connectome Project systems,” he points out.

Using a non-local spatial and angular block matching technique to denoise raw diffusion weighted images. allows to push acquisition to lower spatial resolution and read human-connectome-project-like resolution from standard Philips Ingenia 3.0T MRI scanner. The data were acquired with spatial resolution of 1.2 x 1.2 x 1.2 mm in 13 minutes for 40 full brain DWI with b 1000 and one with b 0


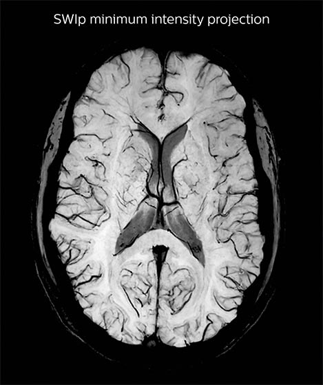
A SWIp image (left) is used to visualize veins in cortical and sub-cortical areas. Using in-house reconstruction techniques, a vascular density map is obtained in individual subjects and averaged over a population (right). Areas in red/green represent areas with dense venous vascularization. The lab uses such images to correct fMRI (BOLD) activation maps in order to minimize false positives.


References
1. St-Jean S, Gilbert F, Descoteaux M Connectome -like quality diffusion MRI in 13 minutes - Improving diffusion MRI spatial resolution with denoising ISMRM 2015
2. Vigneau-Roy N, Bernier M, Descoteaux M, Whittingstall K Regional variations in vascular density correlate with resting-state and task-evoked blood oxygen level- dependent signal amplitude Human Brain Mapping 2014, 35 (5), 1906-192

You are about to visit a Philips global content page
ContinueOve internet stranice namijenjene su isključivo osoblju koje se koristi medicinskim proizvodima u obavljanju svoje djelatnosti, uključujući zdravstvene radnike, osoblje koje postupa u ime zdravstvenih institucija i/ili osoblje koje se profesionalno bavi trgovinom medicinskim proizvodima.
Spadate li u kategoriju osoba koje udovoljavaju gornjim kriterijima?