FieldStrength MRI magazine
User experiences - December 2016
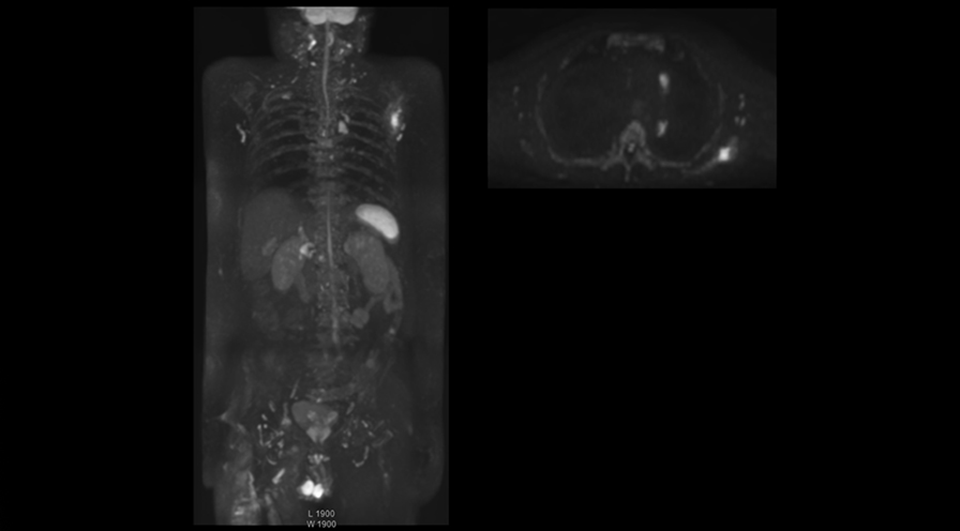
Recognizing the clinical utility of whole body MR imaging, radiologists at Kawasaki Saiwai Hospital (Kasawaki, Japan) began offering whole body diffusion weighted imaging (DWI) in 2009 for oncology patients. In 2012, the hospital installed a Philips scanner, the Ingenia 1.5T. The dStream digital architecture and highly linear gradients of Ingenia allowed them to switch to coronal – rather than axial – whole body DWI, and were key to developing a fast, high quality protocol that has led to increased referrals and decreased dependence on nuclear medicine imaging.

Hiroshi Nobusawa, MD, PhD
Radiologist at Kawasaki Saiwai Hospital, Japan

MR technologist at Kawasaki Saiwai Hospital, Japan
Takanori Naka
Radiologist Hiroshi Nobusawa, MD, PhD, explains that the coronal DWIBS protocol for whole body DWI is excellent for visualizing lesions in oncology patients. “About 90% of the DWIBS exams are done in this type of patients. The remainder of DWIBS exams are performed to gain information in cases of fevers of unknown origin,” he says. in image acquisition and postprocessing algorithms.”“mDIXON TSE sequences allow simultaneous characterization of morphological changes from the in-phase T2-weighted images and visualization of edematous changes, thanks to the water T2-weighted images from the same acquisition. Anatomical and morphological considerations could be a partial or complete ligament tear, a bony avulsion or hematoma.” “For soft tissue assessment mDIXON brings similar benefits. For example in one T2-weighted mDIXON TSE acquisition, having the multiple contrasts helps us assess abnormalities in peripheral nerves fascicles, which may be due to anatomical or inflammatory changes..” “In peripheral joints, we get good image quality in difficult areas with mDIXON TSE. Fat suppressed images appear homogeneous over the entire image, even with large coverage at 3.0T – for instance in scapular or hip girdles – or in the bearing areas or around metal prostheses*, where fat suppression is often deficient with STIR or spectral fat suppression, causing diagnostic difficulties. If a diagnostic image is right the first time, we don’t need to repeat or add a sequence.” “mDIXON TSE sequences allow simultaneous characterization of morphological changes from the in-phase T2-weighted images and visualization of edematous changes, thanks to the water T2-weighted images from the same acquisition. Anatomical and morphological considerations could be a partial or complete ligament tear, a bony avulsion or hematoma.” “For soft tissue assessment mDIXON brings similar benefits. For example in one T2-weighted mDIXON TSE acquisition, having the multiple contrasts helps us assess abnormalities in peripheral nerves fascicles, which may be due to anatomical or inflammatory changes..”
“The DWIBS sequence’s value in oncology cases is due to the high contrast it creates between lesions and surrounding tissue. Whole body DWI is requested by physicians who need to clarify TNM staging or determine therapeutic strategies, oncologists in need of diagnosis or follow-up scans, surgeons who need to see the presence of distant lesions that are sometimes difficult to detect by CT before surgery, and urologists for the evaluation of bone lesions, and the effect of chemotherapy and radiotherapy.”

Kawasaki Saiwai Hospital
“In our initial whole body DWI, we scanned from the top of the head to the toe in axial orientation. Because that took a lot of time, it constrained the examination to performing only coronal TSE and the axial whole body DWI scans. So, we had to compromise on clinical information to keep the exam to a reasonable length.” “Fortunately, the Ingenia 1.5T system allowed us to improve our whole body DWI scan and make the exam time more tolerable for patients,” says Mr. Naka.
“Before we had Ingenia, clinical adoption was hindered because the exam length of the whole body DWI protocol on our old system was difficult for many patients to tolerate,” says Takanori Naka, MR technologist.
“When we limited the scan coverage to the area from neck to femur, we could fit more clinical information in approximately the same scan time. So, we added coronal mDIXON, sagittal T1-weighted, and sagittal STIR sequences to our examination, instead of performing only axial DWIBS and coronal single-shot TSE scans.” The single shot T2-weighted TSE images are used for morphology and compared to DWIBS images to identify T2 shine-through. Sagittal STIR images are used in patients with inflammation or bone metastasis.
“Once Ingenia was available, our first goal was to shorten the exam time of our scan,” says Mr. Naka. The next goal was to create a protocol that provided more clinical information.
“This is considerably faster than the previously used exam with axial whole body DWI, which took more than 45 minutes,” he notes. “A shorter exam is more patient-friendly and allows us to also use it on patients in poor health who would have difficulty tolerating a long exam. Limiting the exam time is also helpful for scheduling, because it fits in a normal single exam timeslot.”
“Switching to coronal DWIBS – rather than axial – further shortens scan time,” says Mr. Naka. “Important is that a dS SENSE factor of 5 shortens exam time while high image quality can be maintained, thanks to Ingenia’s dStream architecture.” He adds that the coronal orientation also avoids artifacts that are specific to combining axial images.
“When we use a coronal DWIBS acquisition, we can perform a full whole body examination, including other required sequences, within 30 minutes,” he says.

“mDIXON FFE allows us to quickly get information we need to assess the presence of fat. That gives us more information when we need to diagnose bone lesions, and when we are asked to judge fat-containing lesions such as hepatocellular or renal carcinoma,” Dr. Nobusawa says. “The mDIXON fat images can help us to differentiate fatty bone marrow from bone lesions. This is especially useful in elderly people, who tend to have fattier bone marrow. The water images provide a high signal-to-noise ratio in the intestinal canal, which is valuable for visualizing lesions in the colon,” he says.
Kawasaki Sawai Hospital’s whole body protocol also includes an mDIXON FFE sequence. Because mDIXON provides images for four contrast types – water only, fat only, in-phase and out-of-phase – from a single acquisition, it is useful in many ways.
“In-phase and out-phase sagittal T1-weighted FFE images help us to visualize and further characterize bone lesions such as metastasis and bone-marrow hyperplasia that have high signal on DWI. These images are also used throughout radiotherapy, to monitor changes in the fatty bone marrow.”
After implementing the improved whole body protocol, the radiology team initially did not see a large increase in referrals, although Dr. Nobusawa saw clinical cases where the DWIBS images provided him valuable information for diagnosis. This is why Dr. Nobusawa and Mr. Naka started to actively educate referring physicians about the value of whole body DWIBS. They organized several presentations for physicians in the hospital, where they explained how DWIBS can be of value in oncology patients. The information it provides can be useful for physicians when staging cancer, as well as when determining or adjusting treatment strategy. Mr. Naka remembers some cases where DWIBS provided remarkable information. “In one example, DWIBS visualized bone lesions that could not be seen on PET or SPECT. In another case we had found a bone lesion when a normal L-spine scan for narrowing of the disk space was done. One extra DWIBS scan (2 stations, 8 minutes) demonstrated a lesion that later was confirmed to be the primary region of cancer.”
As oncologists and surgeons have learned more about DWIBS, referrals for the exams have increased. In 2015, the 326-bed hospital’s radiology department doubled their number of whole body DWIBS exams compared to 2014.

Dr. Nobusawa notes that acceptance of whole body DWI accelerated after the hospital installed the Ingenia 1.5T which allowed them to optimize the protocol to their needs. “The Philips system helped us promote the technique, because the DWIBS image quality was so high with Ingenia. It provides high quality in the coronal images, and a short acquisition time plus high SNR thanks to the dStream technology,” he says.
In certain cases, radiologists now choose DWIBS to make diagnoses that used to depend on nuclear medicine studies. “We don’t have SPECT or PET in our hospital, so for instance for visualizing metastasis and monitoring the effect of treatments such as chemotherapy or radiotherapy, we used to refer patients outside the hospital. Now, these patients are sent to MRI for our whole body protocol with DWIBS,” Mr. Naka says.
“Our radiologists are confident when using our current exam with DWIBS and appreciate that it provides more information than nuclear medicine. The number of referrals is increasing, including referrals from other hospitals that cannot provide DWIBS. And because the scan time is short, we immediately choose DWIBS when oncology patients are referred.”
Finally Dr. Nobusawa concludes, “As soon as you understand the usefulness of DWIBS exams with the Ingenia system, surely you would like to use it. It is also beneficial for patients because DWIBS does not involve radiation exposure as in PET or SPECT. We hope that DWIBS once will be adopted as a gold standard in the care for oncology patients.”


References
1. T. Takahara, Y. Imai, T. Yamashita, S. Yasuda, S. Nasu, M. Van Cauteren. Diffusion weighted whole body imaging with background body signal suppression (DWIBS): technical improvement using free breathing, STIR and high resolution 3D display. Radiat Med 2004;22(4):275-282.
2. Thomas C. Kwee, T. Takahara, R. Ochiai, et al. Diffusion-weighted whole-body imaging background body signal suppression (DWIBS): features and potential applications in oncology. Eur Radiol 2008;18(9):1937-1952
3. Valasco Stephane, Burg Samuel, Delwail Vincent, et al. Comparison of PET-CT and magnetic resonance diffusion weighted imaging with body suppression (DWIBS) for initial staging of malignant lymphomas. Eur J Radiol 2013;82(11):2011-2017 4. Mohamed Zidan, Mohammad K. Mahmoud, Hazen. A Yousef. Diffusion-Weighted Whole-Body Imaging with Background Body Signal Suppression (DWIBS): MRI Sequence for Metastatic Workup. Med. J. Cairo. Univ 2013;81(2):71-80
Results from case studies are not predictive of results in other cases. Results in other cases may vary.

implants
You are about to visit a Philips global content page
ContinueOve internet stranice namijenjene su isključivo osoblju koje se koristi medicinskim proizvodima u obavljanju svoje djelatnosti, uključujući zdravstvene radnike, osoblje koje postupa u ime zdravstvenih institucija i/ili osoblje koje se profesionalno bavi trgovinom medicinskim proizvodima.
Spadate li u kategoriju osoba koje udovoljavaju gornjim kriterijima?