Discover how Advanced Visualization Cardiac clinical portfolio helps you assessing myocardial function, volume, and scaring.
Diagnose and monitor heart diseases in a comprehensive manner. 3D models, maps, and other quantitative tools offer quick analysis support, designed to support diagnostic work. Bring advanced diagnostic imaging closer to the interventional suite by integrating your Allura / Azurion Interventional Suite with IntelliSpace Portal which automatically retrieves patient data from Portal for your scheduled patients.
One-click 3D calcium segmentation
One-click 3D segmentation and quantification for coronary arteries calcifications including mass, Agatston, and volume scores.

Benefits
Evaluate coronaries plaque
Enables performing cross-sectional measurements along the coronary arteries, and automatically calculates regional and global quantities of plaque volume.

Benefits
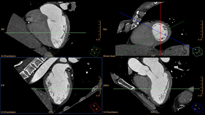
Quick cardiac visualization
Provides a set of tools for the visualization of one or multiple cardiac phases using original images or MPR\MIP images in axial, coronal, sagittal or dedicated cardiac axes (short axis, horizontal long axis, and vertical long axis).

Benefits
Comprehensive cardiac analysis
Designed to assist the user in viewing, analyzing and quantifying dedicated Cardiac CT Angiograms, mainly for coronary arteries analysis on Coronaries CT Angiogram (CCTA) data.

Benefits
Fusing cardiac CT-MI images
Cardiac CT-MI Fusion incorporates support for myocardial perfusion imaging (MPI).

Benefits
un-gated stress MI datasets simultaneously with the CT.
Dynamic color maps provide an assessment of myocardial risk
Provides automatic and manual tools to help visualize and assess signal intensity differences (in Hounsfield Unit) focusing on the left ventricular myocardium, providing quantitative myocardial perfusion measurements for CT images.

Benefits
EP procedures planning
CT EP Planning allows electrophysiologists to quickly identify anatomy relevant to the EP procedure.

Benefits
Assessing myocardial defects
Relies on the automatic 3D model-based whole-heart segmentation from the CCA application to provide visual and quantitative assessment of segmented, low-attenuation areas within the left ventricle myocardium from a single, gated cardiac CTA scan.

Benefits
IQon Spectral CT Functionality
Benefits

IQon Spectral CT Functionality
Provides the ability to run cardiac segmentation on different energy levels, compare vessel curves with various spectral data types, and enhance the visual assessment of coronary vessel patency.

Benefits
Review spectral data in a range of not spectral-enhanced CT applications
Allows retrospective use of spectral data that was saved in a series of spectral base images (SBI). The fast launch of LMG allows review and identification of the most relevant results to be launched into the application for further analysis.

Benefits
IQon Spectral CT Functionality
IQon Spectral CT is the only scanner to offer CT Spectral Light Magic Glass and CT Spectral Magic Glass on PACS, helping radiologists review and analyze multiple layers of spectral data at once, including on their PACS.

Benefits
* Standard with the CT Spectral option on IntelliSpace Portal.
CT imaging in TAVI to advance patient care
Provides 2D and 3D visualization and automated measurements designed to assist in proper TAVI-device sizing, on contrast-enhanced, prospectively ECG-gated axial or retrospectively gated helical CT images.

Benefits
Streamlined modeling workflow
Allows to view volumetric images of anatomical structures, perform segmentation, edit and combine segmented elements (tissues) into a 3D model.

Benefits
*3D models are not intended for diagnostic use.
Comprehensive vascular analysis planning
Designed to examine and quantify different types of vascular lesions from CTA and MRA scans. It accommodates different modes of inspection, allows labeling different vascular lesions, and helps navigating through multiple findings. Demonstrated to reduce the post-processing time by 50% when compared to manual Head & Neck CT angiography (CTA) analysis*.

Benefits
* Ardley N et al. Efficacy of a new post processing workflow for CTA head and neck. ECR 2013 / C-1760.
Detailed quantification of cardiac function
Includes a viewer and functional analysis. The MR Cardiac Viewer allows side-by-side review of single, multiple or all available cardiac series in a default or in a user-defined viewing protocol. It automatically links multiple series in respect to DICOM geometry, zoom/pan, time and position link for qualitative assessment and analysis in AHA 17 segment templates of the MRC data types. It supports basic measurements and screen captures.

Benefits
Assess myocardial tissue characteristics
The MR Cardiac Quantitative Mapping helps you assess and review myocardial tissue characteristics in multiple, user-defined, field-strength specific lookup tables.

Benefits
Support assessing temporal enhancements of the myocardium
Facilitates myocardial analysis of dynamically resolved cardiac data (multi-slice, dynamics) and enables comparison of rest and stress studies.

Benefits
Detailed 3D visualization of the segmented heart
Allows 3D visualization of the heart and vessels anatomy on T1 3D or MRA acquisition. Manual editing tools as well as semi-automatic tools based on seed- and mask-based segmentation can be used as well as full automatic model-based heart segmentation.

Benefits
Visualizing and quantifying blood flow dynamics
Supports visualization and quantification of blood flow dynamics by assisting in review of MR phase-contrast data, on vascular region of interest segmented manually, or semi-automatically. Qflow analysis is integrated as part of MR Cardiac Suite allowing flow and functional analysis in one suite with combined reporting.

Benefits
Enhance SPECT resolution
NM Astonish Reconstruction is an advanced reconstruction option that uses a matched dual filtering technique to minimize noise and improve reconstructed image resolution and uniformity.

Benefits
Advanced cardiac quantification
Provides comprehensive cardiac quantification tools for gated, perfusion, and blood pool SPECT and quantitative PET. The Cedars-Sinai Cardiac Suite 2017 application provides efficient workflow for study interpretation with integration of perfusion and function.

Benefits
* Not available for sale in all countries. Please check for availability in specific countries.
SPECT and PET cardiovascular quantification, review, and reporting
Designed for advanced cardiovascular quantification and image display, and includes intelligent workflow and quality assurance measures for increased confidence. Quantifies myocardial perfusion, function, and viability using multiple review screens, with integrated reporting through customizable templates.

Benefits
* Corridor4DM is a registered trademark of Invia, LLC.
Assess cardiac mechanic dyssynchrony
Emory Cardiac Toolbox (ECTb) SyncTool provides an objective evaluation of left ventricular (LV) dyssynchrony using phase analysis.

Benefits
*Emory Cardiac Toolbox, ECTb, HeartFusion, and SyncTool are registered trademarks of Emory University.
Evaluate fused coronary anatomy
Emory Cardiac Toolbox (ECTb) HeartFusion offers fusion of a patient’s coronary tree from cardiac CT angiography with MI perfusion images.

Benefits
*Emory Cardiac Toolbox, ECTb, HeartFusion, and SyncTool are registered trademarks of Emory University.
Enhanced user experience for NM reading with a leading NM viewing solution
A comprehensive NM solution, designed to enhance productivity of PET/CT and NM reading. It offers a solution for handling multiple studies requiring rigorous quantification of MV data**.


Benefits
* Mirada is a registered trademark of Mirada inc.
** Please contact local Philips representative for details on multivendor coverage.
Comprehensive reviewing tool for multiple modalities, all in a single viewer
The Multi Modality Viewer (MMV) now supports viewing and post processing of angiography images and series. Review and perform analysis of angiographic imaging alongside other modalities for a comprehensive review of the patient case. Perform vascular processing of images (Digital Subtraction Angiography) – subtraction, pixel shifting and land marking. Include key images into the generic MMV report. Prior to the intervention, relevant diagnostic (MR and or CT) data can be bookmarked and automatically retrieved upon patient selection in the Allura, or the Azurion suites.

Benefits
You are about to visit a Philips global content page
ContinueOve internet stranice namijenjene su isključivo osoblju koje se koristi medicinskim proizvodima u obavljanju svoje djelatnosti, uključujući zdravstvene radnike, osoblje koje postupa u ime zdravstvenih institucija i/ili osoblje koje se profesionalno bavi trgovinom medicinskim proizvodima.
Spadate li u kategoriju osoba koje udovoljavaju gornjim kriterijima?