Need more information on Ingenia Prodiva? Request more information here and we will get in touch with you soon.
Dr. Takahashi,
Mrs. Silvia Schiffer, Director and Senior Radiologist at Radiologie Schiffer in Germany is sharing her experiences with the Ingenia Prodiva 1.5T MR system.











Learn what the first users of Ingenia Prodiva 1.5T have to say about their experiences using the system and how it impacts their imaging center.


Accelerate patient throughput with a simplified Breeze Workflow.

A revolutionary workflow delivers speed – and productivity

Up to 50% faster MR exams, so you can spend your time wisely

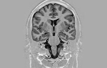
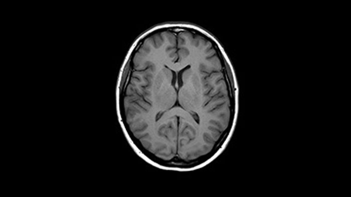
Enhanced diagnostic confidence in neuro oncology

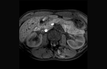
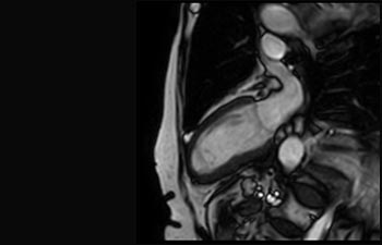
Find the right clinical applications for your needs

See all Ingenia Prodiva 1.5T coils
1 Based on an internal study comparing workflow with the Achieva MR system 2 ComforTone will be available with Prodiva 1.5T in Q4 of 2017 3 Based on an internal study comparing workflow in a mix of brain, spine, MSK and body applications with the Achieva MR system 4 Normal operation is defined as typical scanning performed with uninterrupted availability of electricity, magnet cooling and excluding service actions 5 Dependent on contract entitlement and local availability 6 Other MR refers to 60 cm 1.5T whole body MRI systems
You are about to visit a Philips global content page
ContinueOve internet stranice namijenjene su isključivo osoblju koje se koristi medicinskim proizvodima u obavljanju svoje djelatnosti, uključujući zdravstvene radnike, osoblje koje postupa u ime zdravstvenih institucija i/ili osoblje koje se profesionalno bavi trgovinom medicinskim proizvodima.
Spadate li u kategoriju osoba koje udovoljavaju gornjim kriterijima?