
Decrease complications of CVC insertions
Real-time ultrasound guidance can improve the accuracy and safety of CVC insertions.

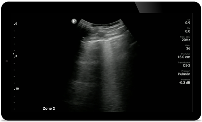
Keep an eye on COVID pneumonia
Lumify can help give results similar to a chest CT when evaluating pneumonia and adult respiratory distress syndrome.

Act faster to protect their heart
When seconds count, portable ultrasound can make the difference. Lumify can provide the high-definition imagery you need whenever and wherever you need it.
















• 12 to 4 MHz extended operating frequency range • Aperture size: 34mm • 2D, steerable color Doppler, M-mode, advanced XRES and multivariate harmonic imaging, SonoCT • High resolution imaging for shallow applications: soft tissue, vascular, superficial, musculoskeletal, and lung • Center line marker • USB-C transducer with replaceable cable



Case study
Opportunity to potentially reverse cardiomyopathy

Tutorial
Intro to transthoracic echocardiography

Quick guide
Focused renal ultrasound
You are about to visit a Philips global content page
ContinueOve internet stranice namijenjene su isključivo osoblju koje se koristi medicinskim proizvodima u obavljanju svoje djelatnosti, uključujući zdravstvene radnike, osoblje koje postupa u ime zdravstvenih institucija i/ili osoblje koje se profesionalno bavi trgovinom medicinskim proizvodima.
Spadate li u kategoriju osoba koje udovoljavaju gornjim kriterijima?