
Lumify is with you every step of the way
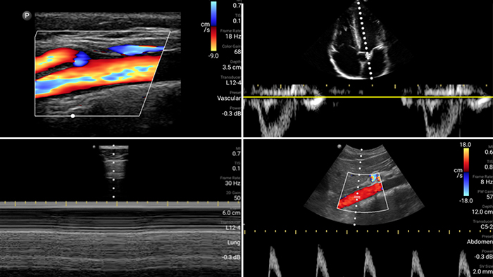
Evaluate, diagnose and treat your patients in minutes with a multi-point POCUS exam.

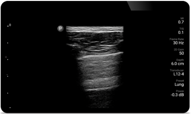
Breathe easier with Lumify
Lumify can help assess patients faster and improve accuracy when diagnosing common causes of dyspnea and other lung conditions.

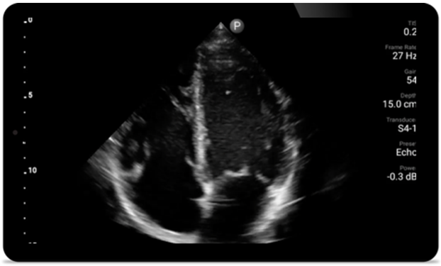
Every second counts in cardiac care
Heart attack patients need immediate care. Lumify's cardiac presets can help patients get diagnosed faster to improve their outcomes.
















• 4 to 1 MHz extended operating frequency range • 2D, color Doppler, M-mode, advanced XRES and multivariate harmonic imaging • High-resolution imaging for abdominal and cardiac applications: Cardiac, OB/GYN, Lung, Abdomen and FAST imaging preset optimizations Lumify aids life-saving technology in prehospital setting



Video
Lumify aids life-saving technology in prehospital setting

Case study
Integrating Lumify into a resuscitation environment

Quick guide
Focused Assessment with Sonography in Trauma (FAST) exam
You are about to visit a Philips global content page
ContinueOve internet stranice namijenjene su isključivo osoblju koje se koristi medicinskim proizvodima u obavljanju svoje djelatnosti, uključujući zdravstvene radnike, osoblje koje postupa u ime zdravstvenih institucija i/ili osoblje koje se profesionalno bavi trgovinom medicinskim proizvodima.
Spadate li u kategoriju osoba koje udovoljavaju gornjim kriterijima?